
Viêm bao gân chân là tình trạng viêm xảy ra tại lớp màng mỏng bao quanh các gân ở vùng cổ chân, bàn chân hoặc gót chân. Bệnh có thể ảnh hưởng đến khả năng đi lại, chạy nhảy hoặc thậm chí gây đau ngay cả khi nghỉ ngơi nếu không được điều trị đúng cách. Cùng MSC Clinic tìm hiểu rõ hơn về bệnh lý viêm gân, từ nguyên nhân, dấu hiệu nhận biết đến các phương pháp điều trị và phòng ngừa hiệu quả.
Bao gân chân là lớp màng mỏng bao quanh các gân ở vùng bàn chân, cổ chân và gót chân. Chức năng chính của bao gân là bảo vệ gân và tạo điều kiện cho gân trượt mượt mà trong quá trình co duỗi, giúp chân vận động linh hoạt khi đi, đứng, chạy, nhảy.
Cấu trúc bao gân chân bao gồm hai lớp: Lớp ngoài và lớp trong. Bao gân lớp ngoài có tác dụng bảo vệ gân khỏi ma sát và va chạm. Lớp trong (lớp hoạt dịch) tiết ra dịch bôi trơn, giúp giảm ma sát giữa gân và các cấu trúc xung quanh như xương, cơ, dây chằng.

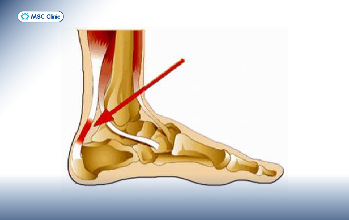
Viêm bao gân gót chân
Vị trí các bao gân chân thường gặp bao gồm: bao gân cổ chân (bao quanh các gân duỗi, gân gập cổ chân), bao gân gót chân (quanh gân Achilles – gân lớn nối bắp chân với gót) và bao gân bàn chân (quanh các gân gập ngón chân, gân gan chân)
Khi bao gân bị viêm, người bệnh thường cảm thấy đau âm ỉ hoặc nhói khi di chuyển, kèm theo sưng nhẹ, cứng khớp và cảm giác lạo xạo quanh gân. Viêm bao gân chân thường gặp ở người chơi thể thao, người đứng lâu, đi lại nhiều hoặc mang giày không phù hợp. Các vùng viêm tương ứng với vị trí của các bao gân tại chân:
Viêm gân và viêm bao gân là hai tình trạng thường đi kèm hoặc dễ bị nhầm lẫn vì chúng xảy ra ở cùng một hệ thống – đó là gân và bao gân. Gân là cấu trúc giúp nối cơ với xương, còn bao gân là lớp màng mỏng bao quanh gân.
Khi gân bị tổn thương do vận động quá mức, va chạm hoặc viêm mạn tính, tình trạng viêm có thể lan sang bao gân, dẫn đến viêm bao gân. Ngược lại, nếu bao gân bị viêm trước (do cọ xát hoặc nhiễm trùng), gân bên trong cũng có thể bị kích thích và viêm theo. Chính vì vậy, trong thực tế lâm sàng, hai bệnh lý này thường song hành hoặc ảnh hưởng lẫn nhau, cần được đánh giá và điều trị đồng thời để tránh tái phát hoặc biến chứng.
Dấu hiệu lâm sàng của bệnh phụ thuộc chủ yếu vào vị trí gân chịu tổn thương và bị viêm. Triệu chứng phổ biến nhất là tình trạng đau ở bàn chân hoặc mắt cá chân.
»» Đọc thêm: Sưng gân chân – Nguyên nhân, điều trị và giải pháp

Các vị trí đau thường gặp do viêm bao gân chân
Người bệnh có thể gặp một hoặc nhiều dấu hiệu sau:
Viêm bao gân chân xuất hiện khi bao gân bị kích thích cơ học (do ma sát, áp lực lặp đi lặp lại) hoặc do phản ứng viêm từ bên trong cơ thể. Bao gân sưng lên, tiết dịch, làm giảm khả năng bôi trơn, khiến gân cọ xát nhiều hơn và gây đau. Nếu không điều trị, quá trình viêm có thể lan rộng, gây dính gân hoặc đứt gân.

Chạy bộ với cường độ cao, mang giày không phù hợp có thể là nguyên nhân gây viêm bao gân chân
Các nguyên nhân gây viêm bao gân chân phổ biến bao gồm:
Tương ứng với nguyên nhân gây bệnh, đối tượng có nguy cơ cao bị viêm bao gân chân bao gồm: người chơi thể thao (đặc biệt là chạy bộ, nhảy xa, bóng đá), người phải đứng hoặc đi lại nhiều giờ mỗi ngày, nhân viên phục vụ, người làm việc trên bề mặt cứng, người mang giày cao gót thường xuyên. Ngoài ra, người trung niên trở lên – khi hệ thống gân và bao gân bắt đầu lão hóa – cũng dễ gặp tình trạng này do khả năng phục hồi mô bị suy giảm.
Để chẩn đoán viêm gân bàn chân, bác sĩ cần kiểm tra các dấu hiệu lâm sàng kết hợp với các phương pháp chẩn đoán hình ảnh.
Việc điều trị viêm bao gân chân cần tập trung vào giảm viêm, giảm đau, phục hồi vận động và ngăn ngừa tái phát. Trong hầu hết các trường hợp, nếu phát hiện sớm và chăm sóc đúng cách, bệnh có thể cải thiện rõ rệt chỉ sau vài tuần.
6.1. Điều trị không dùng thuốc
6.2. Điều trị bằng thuốc
Dựa trên những triệu chứng lâm sàng, chủ yếu là mức độ cơn đau của người bệnh, bác sĩ sẽ chỉ định những loại thuốc giảm đau hoặc chống viêm phù hợp. Thuốc giảm đau, kháng viêm không steroid (NSAIDs) như ibuprofen thường được sử dụng cho các ca viêm bao gân chân. Ngoài ra, để giảm đau, bệnh nhân có thể sử dụng thuốc bôi dạng gel hoặc miếng dán.
Khi sử dụng Ibuprofen hoặc bất kỳ thuốc chống viêm NSAID khác, người bệnh cần lưu ý uống thuốc theo phác đồ chỉ định của bác sĩ. Việc tự ý uống thuốc có thể gây ra bệnh đau dạ dày, ảnh hưởng đến gan, thận hoặc những bệnh lý khác.
»» Có thể bạn chưa biết: Viêm gân gót chân uống thuốc gì để giảm đau nhanh?

Thuốc giảm đau, kháng viêm ibuprofen dùng cho trường hợp viêm bao gân chân
6.3. Tiêm nội khớp điều trị viêm bao gân chân
Tiêm nội khớp là một trong số biện pháp điều trị viêm bao gân chân hiệu quả hiện nay được các bác sĩ chuyên khoa lựa chọn. Biện pháp này giúp giảm đau nhanh chóng, kiểm soát viêm và hỗ trợ phục hồi mô tổn thương.
Tuy nhiên, thuốc tiêm cho từng bệnh nhân sẽ không giống nhau và được chỉ định tùy theo tình trạng của bệnh nhân. Một thuốc tiêm điều trị viêm bao gân chân gồm:
6.4. Phẫu thuật
Phẫu thuật là phương án cuối cùng, được chỉ định trong trường hợp không đáp ứng được với những phương pháp điều trị nội khoa khác hoặc trong trường hợp tình trạng viêm đau kéo dài liên tục quá 6 tháng. Phương pháp phẫu thuật sẽ giúp người bệnh thuyên giảm hoặc loại bỏ cơn đau này. Tuy nhiên, nếu không thực sự cần thiết, người bệnh nên chữa viêm bao gân chân bằng các phương pháp nội khoa để tránh tiêu tốn thời gian, chi phí cùng nguy cơ gặp các biến chứng khác. Người bệnh cần thăm khám kỹ lưỡng với bác sĩ chuyên khoa để thống nhất giải pháp phù hợp cho tình trạng của mình.
6.5. Chăm sóc bệnh nhân viêm bao gân chân tại nhà
Để phục hồi tổn thương bao gân nhanh chóng và tránh bệnh tái đi tái lại, người bệnh cần lưu ý luôn mang giày dép phù hợp, tránh giày đế cứng, cao gót hoặc giày quá chật. Trong quá trình điều trị, việc cố gắng vận động sớm có thể khiến tình trạng viêm kéo dài hoặc tái phát. Vậy nên, bệnh nhân không được cố gắng vận động mạnh khi chưa hết đau. Sau giai đoạn cấp, cần tăng cường các bài tập phục hồi nhẹ nhàng dưới hướng dẫn của chuyên gia phục hồi chức năng.
Với các trường hợp viêm kéo dài, tái phát nhiều lần hoặc có yếu tố bệnh lý nền (như viêm khớp dạng thấp), người bệnh nên tái khám chuyên khoa cơ xương khớp để đánh giá chuyên sâu và điều trị bài bản hơn.
Viêm bao gân chân có thể tái phát nếu không được phòng ngừa đúng cách, đặc biệt ở những người có lối sống vận động nhiều hoặc từng bị tổn thương gân trước đó. Việc duy trì thói quen chăm sóc chân đúng cách không chỉ giúp giảm nguy cơ viêm tái phát mà còn góp phần bảo vệ toàn bộ hệ vận động của bạn về lâu dài. Những lưu ý quan trọng để phòng ngừa viêm bao gân chân bao gồm:
Tại MSC Clinic, người bệnh viêm bao gân chân sẽ được tiếp cận với các phương pháp điều trị hiện đại, ít xâm lấn, giúp giảm đau nhanh chóng, phục hồi hiệu quả mà không cần phẫu thuật.
MSC Clinic là một trong những đơn vị tiên phong áp dụng y học tái tạo vào điều trị các bệnh lý gân – bao gân. Các phương pháp như tiêm huyết tương giàu tiểu cầu (PRP), huyết tương tăng trưởng nội sinh, M-MSC Therapy,… giúp kích thích quá trình tự chữa lành mô tổn thương, giảm viêm, tái tạo lớp hoạt dịch quanh bao gân và phục hồi chức năng vận động tự nhiên cho vùng chân bị viêm.
»» Tìm hiểu thêm: Chẩn đoán và điều trị viêm gân bàn chân: Giải pháp y học tái tạo tại MSC Clinic

Ứng dụng y học tái tạo trong điều trị bệnh lý cơ xương khớp tại MSC Clinic
Bên cạnh y học tái tạo, người bệnh còn được kết hợp phục hồi chức năng với các bài tập phục hồi được cá nhân hóa theo từng tình trạng cụ thể. Phác đồ điều trị được điều chỉnh linh hoạt dựa trên mức độ tổn thương và khả năng đáp ứng của từng bệnh nhân.
Dẫn đầu chuyên môn phòng khám là BSCKII Trần Trọng Thắng – chuyên gia có hơn 30 năm kinh nghiệm, từng là Phó Giám đốc Bệnh viện Phục hồi chức năng Hà Nội, nổi bật trong điều trị các tổn thương gân cơ và phục hồi sau chấn thương thể thao.
PGS.TS.BS Mai Hồng – Nguyên Trưởng khoa Cơ Xương Khớp Bệnh viện Bạch Mai, Phó Chủ tịch Hội Loãng xương Hà Nội, chuyên gia hàng đầu với nhiều đóng góp quan trọng trong nghiên cứu và điều trị cơ xương khớp.
BS.CKI Nguyễn Đức Hiếu – Bác sĩ Nội Cơ Xương Khớp, Phòng khám MSC; tốt nghiệp Học viện Quân Y và Đại học Y Hà Nội; từng công tác tại nhiều bệnh viện lớn như Đại học Y, Thanh Oai, Thu Cúc.
Bên cạnh đó, MSC Clinic còn có ThS.BS Nguyễn Trần Trung – Phó Trưởng khoa Cơ xương khớp, Bệnh viện E, giàu kinh nghiệm trong điều trị nội khoa các bệnh lý cơ xương khớp.
Toàn bộ hệ thống máy móc tại MSC Clinic được đầu tư đồng bộ từ các quốc gia dẫn đầu công nghệ y tế như Đức, Nhật Bản, Pháp, cho phép bác sĩ chẩn đoán chính xác, đánh giá mức độ viêm bao gân bằng hình ảnh học và đưa ra phác đồ điều trị cá nhân hóa với hiệu quả tối ưu.

Trang thiết bị hiện đại nhập khẩu từ Đức, Nhật, Pháp,… hỗ trợ khám và điều trị hiệu quả, chính xác
Bệnh nhân không chỉ được điều trị, mà còn được chăm sóc tận tâm, theo dõi tiến trình phục hồi kỹ lưỡng qua từng giai đoạn. Từ điều dưỡng đến kỹ thuật viên phục hồi chức năng đều đảm bảo tiêu chuẩn chuyên môn cao và luôn sẵn sàng đồng hành cùng người bệnh trong suốt quá trình điều trị.
Liên hệ ngay với MSC Clinic để được tư vấn điều trị viêm bao gân chân hiệu quả và phòng ngừa biến chứng bền vững, lâu dài:
PHÒNG KHÁM MSC INTERNATIONAL CLINIC
Hotline: 0975 576 376
Địa chỉ:
Fanpage:
Lưu ý: Nội dung bài viết chỉ mang tính chất tham khảo và cung cấp thông tin. Đây không phải là tư vấn y tế chuyên nghiệp và không thay thế cho việc thăm khám, chẩn đoán hoặc điều trị của bác sĩ có chuyên môn. Người đọc không nên tự ý áp dụng phương pháp điều trị khi chưa có chỉ định từ bác sĩ.
Chia sẻ:
Chi tiết dịch vụ
